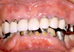
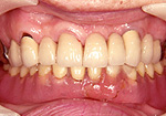
歯周病治療と義歯のケース
この方は10年以上前に初診で来院された時、古いブリッジと歯ぐきの隙間のほとんどが虫歯で、歯周病も重度に進行していました。治療は歯周外科処置を行い、上顎は新しいブリッジを装着し、下顎は磁性アタッチメントによる義歯を装着しました。
現在10年以上経過していますが、患者さんのプラークコントロールもよく、定期検診も欠かさずお越しになっていただき、良い状態を保っています。
治療前→治療後



- 監修者情報
- 公開日:2016年12月20日

-
院長の梅村です。私は、世界最先端の歯科医療を学びたいという強い思いから、100年以上の伝統を誇る米国クレイトン大学歯学部に留学しました。8年間のプログラムの中で、徹底的にプロフェッショナルとしてのトレーニングを受け、卒業後、米国歯科医師免許を取得し、帰国しました。大学では、歯科医学の基礎や臨床の学びのみならず、現在のうめむら歯科医院基本理念の礎となる、プロフェッショナルとしての考え方を身に付ける事ができました。そのおかげで、開業以来、上質な医療の提供に全力を注ぎ続ける事ができていると考えています。今後も、当院のコンセプトであるPOCをベースに、関わりある人の幸福を追及できるよう医院全体で常に成長し続けて行きます。





