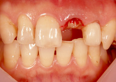
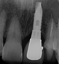
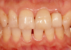
インプラント埋入のケース(前歯)
前歯が折れてしまい、ご来院されました。途中で折れてしまった歯の根を取り除き、インプラントを埋め込みました。前歯でも、ブリッジのように両隣の歯を削ることなく、見た目もキレイに修復することができます。
治療前


治療後


- 監修者情報
- 公開日:2016年12月20日

-
院長の梅村です。私は、世界最先端の歯科医療を学びたいという強い思いから、100年以上の伝統を誇る米国クレイトン大学歯学部に留学しました。8年間のプログラムの中で、徹底的にプロフェッショナルとしてのトレーニングを受け、卒業後、米国歯科医師免許を取得し、帰国しました。大学では、歯科医学の基礎や臨床の学びのみならず、現在のうめむら歯科医院基本理念の礎となる、プロフェッショナルとしての考え方を身に付ける事ができました。そのおかげで、開業以来、上質な医療の提供に全力を注ぎ続ける事ができていると考えています。今後も、当院のコンセプトであるPOCをベースに、関わりある人の幸福を追及できるよう医院全体で常に成長し続けて行きます。





